Before & Afters
Your smile has the power to change everything — from how you feel to how you connect with others. At Fair Lawn Dental Associates, we’re proud to help our patients rediscover their confidence through personalized, high-quality care. Take a look at some of our real patients’ smile transformations and see what’s possible when experience, expertise, and advanced technology come together.

Real patients. Real results.
Every smile you see here began with a conversation. Whether it was a patient looking for cosmetic improvement, restorative work, or full-mouth rehabilitation, we took the time to understand their goals and tailored their treatment accordingly. These results reflect the care, precision, and technology we bring to every patient experience.


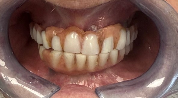
Hybrid Dentures


Hybrid Dentures


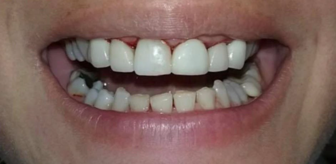
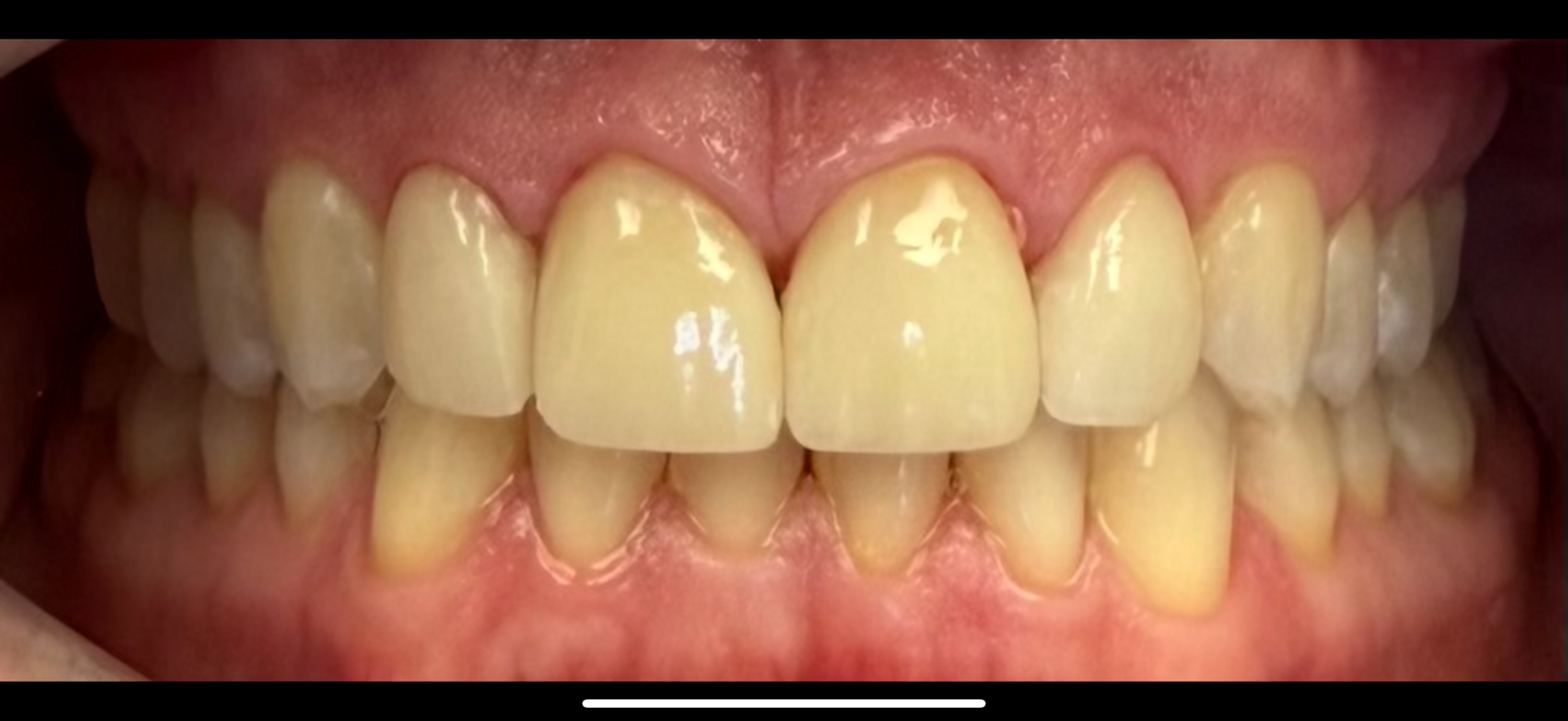
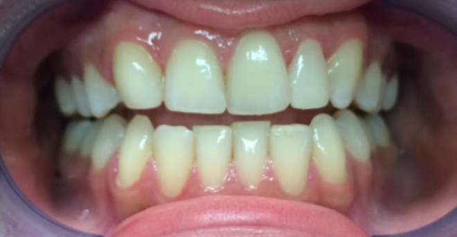
Veneers


Veneers


Hybrid Dentures


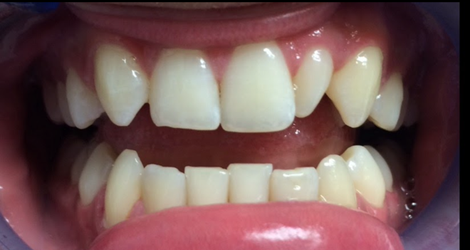
Bondings


Bondings


Bondings


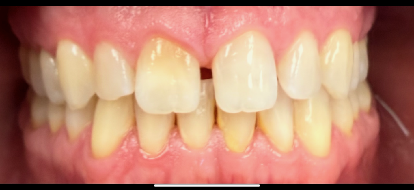
Crowns

Crowns


Crowns


Crowns and Implants
